Color Deconvolution H Dab . Page 5 color deconvolution color deconvolution input parameters: Run image > color > colour deconvolution.
Nuclei Segmentation — HistomicsTK 0.1.0 documentation from digitalslidearchive.github.io
Deconvolved color channel (left) and intensity ranges (right) for channel 3, dab. The currently available color deconvolution procedure by ruifrok et al. This will stop the nissl staining coming through.
Nuclei Segmentation — HistomicsTK 0.1.0 documentation
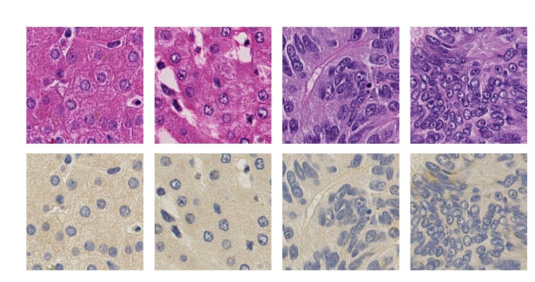
After selecting the h dab option, three different images will pop up on the computer screen. The currently available color deconvolution procedure by ruifrok et al. Color deconvolution uses color profiles of stains like hematoxylin or diaminobenzidine to digitally separate stains from a color image. Red indicates strong staining, orange indicates moderate staining, yellow indicates weak (background) staining in the dab channel, and blue indicates staining in one or both of the other two channels.
Source: www.researchgate.net
Check Details
This step can help to isolate components like nuclei or positive staining structures which can improve quantitation. Nuclei detection for the nuclei segmentation and quantification, you can set those parameters before you press nuclei button. Majorly takes the stain separation into account and does not emphasize more on the pixels lost in the. Color deconvolution for stain separation in. The.
Source: www.jpathinformatics.org
Check Details
Run image > color > colour deconvolution. Page 5 color deconvolution color deconvolution input parameters: The intensity ranges (right) show four colors: The proposed algorithm results in the assignment of a score along with a detailed histogram profile of the image on the basis of the pure dab stain intensity obtained through color deconvolution. Therefore, we propose a new color.
Source: www.researchgate.net
Check Details
Majorly takes the stain separation into account and does not emphasize more on the pixels lost in the. The proposed algorithm results in the assignment of a score along with a detailed histogram profile of the image on the basis of the pure dab stain intensity obtained through color deconvolution. Page 5 color deconvolution color deconvolution input parameters: Run image.
Source: www.researchgate.net
Check Details
Deconvolved color channel (left) and intensity ranges (right) for channel 3, dab. Then the tool will generate the detected result in a created new window. Color deconvoution gives us a way to estimate the amount of stain in a given pixel. This step can help to isolate components like nuclei or positive staining structures which can improve quantitation. The currently.
Source: www.ijbs.com
Check Details
Txt), simply press the color button on the main panel. Segmentation of dab staining you could start by changing pass to stop (hue histogram). The intensity ranges (right) show four colors: The background values for each rgb channel (red, green and blue) a stain vector, which characterizes the color for each stain the brightness/contrast command can also be used to.
Source: www.researchgate.net
Check Details
The intensity ranges (right) show four colors: Page 5 color deconvolution color deconvolution input parameters: • three color components for each of the three channels must be specified in the input Txt), simply press the color button on the main panel. Run image > color > colour deconvolution.
Source: go.biossusa.com
Check Details
Majorly takes the stain separation into account and does not emphasize more on the pixels lost in the. Red indicates strong staining, orange indicates moderate staining, yellow indicates weak (background) staining in the dab channel, and blue indicates staining in one or both of the other two channels. Color deconvolution for stain separation in. This will stop the nissl staining.
Source: digitalslidearchive.github.io
Check Details
Page 5 color deconvolution color deconvolution input parameters: Therefore, we propose a new color deconvolution method to address the issue by employing a set of reference colors vectors, each of which characterizes a dab concentration level. Color deconvolution for stain separation in. Red indicates strong staining, orange indicates moderate staining, yellow indicates weak (background) staining in the dab channel, and.
Source: deepai.org
Check Details
• three color components for each of the three channels must be specified in the input Colour deconvolution is a method used in diagnostic brightfield microscopy to transform colour images of multiple stained biological samples into images representing the stain concentrations. This will stop the nissl staining coming through. To do so, it is necessary to know: The intensity ranges.
Source: www.researchgate.net
Check Details
Fundamentally, color deconvolution digitally separates up to three stains from an rgb image. Thus, this approach is widely used to separate stain in histological images [4]. Run image > color > colour deconvolution. The red, green, and blue (rgb) od color vectors were measured for each stain using default software settings and control slides stained separately with hematoxylin or dab..
Source: www.mediacy.com
Check Details
The proposed algorithm results in the assignment of a score along with a detailed histogram profile of the image on the basis of the pure dab stain intensity obtained through color deconvolution. Run image > color > colour deconvolution. Fundamentally, color deconvolution digitally separates up to three stains from an rgb image. This step can help to isolate components like.
Source: zhuanlan.zhihu.com
Check Details
• three color components for each of the three channels must be specified in the input The tissue itself will have some small absorbance, as will the mounting media. Txt), simply press the color button on the main panel. Red indicates strong staining, orange indicates moderate staining, yellow indicates weak (background) staining in the dab channel, and blue indicates staining.
Source: www.researchgate.net
Check Details
Color deconvoution gives us a way to estimate the amount of stain in a given pixel. Adjust the saturation and brightness sliders until only the dab staining shows through. Color deconvolution for stain separation in. Fundamentally, color deconvolution digitally separates up to three stains from an rgb image. After selecting the h dab option, three different images will pop up.
Source: www.researchgate.net
Check Details
The color of the incoming light is unlikely to be perfectly uniform, even from an led. Adjust the saturation and brightness sliders until only the dab staining shows through. The intensity ranges (right) show four colors: Run image > color > colour deconvolution. Fundamentally, color deconvolution digitally separates up to three stains from an rgb image.
Source: www.researchgate.net
Check Details
Run image > color > colour deconvolution. Segmentation of dab staining you could start by changing pass to stop (hue histogram). Page 5 color deconvolution color deconvolution input parameters: Then, the reference color vector that best represents the true dab concentration level in the mixture is automatically selected for color deconvolution. As previously described [ 25, 26 ], the color.
Source: www.researchgate.net
Check Details
Color deconvolution uses color profiles of stains like hematoxylin or diaminobenzidine to digitally separate stains from a color image. Red indicates strong staining, orange indicates moderate staining, yellow indicates weak (background) staining in the dab channel, and blue indicates staining in one or both of the other two channels. Then the tool will generate the detected result in a created.
Source: www.researchgate.net
Check Details
The currently available color deconvolution procedure by ruifrok et al. Thus, this approach is widely used to separate stain in histological images [4]. Majorly takes the stain separation into account and does not emphasize more on the pixels lost in the. The background values for each rgb channel (red, green and blue) a stain vector, which characterizes the color for.
Source: www.researchgate.net
Check Details
The proposed algorithm results in the assignment of a score along with a detailed histogram profile of the image on the basis of the pure dab stain intensity obtained through color deconvolution. Majorly takes the stain separation into account and does not emphasize more on the pixels lost in the. The h dab vector separates the ihc image into dab.
Source: digitalslidearchive.github.io
Check Details
Since brown is dominated by red and green components and blue colors associated with h are dominated by the blue hues, the channel has the potential to. The red, green, and blue (rgb) od color vectors were measured for each stain using default software settings and control slides stained separately with hematoxylin or dab. Majorly takes the stain separation into.
Source: www.sci666.net
Check Details
Thus, this approach is widely used to separate stain in histological images [4]. Txt), simply press the color button on the main panel. The tissue itself will have some small absorbance, as will the mounting media. The background values for each rgb channel (red, green and blue) a stain vector, which characterizes the color for each stain the brightness/contrast command.