Color Of Fluid In X Ray . What color that begins with x? The images show the parts of your body in different shades of black and white.
(Chest Xray after pleural fluid drainage) Cystic structure in right... Download Scientific from www.researchgate.net
Contrast dye can be injected into your blood vessels (to show the vessels), it can be ingested. 5,8 water (soft tissue) density looks white to gray on the cxr. The air in your lungs shows up as black.
(Chest Xray after pleural fluid drainage) Cystic structure in right... Download Scientific
This is because of high. The constant air pocket in the stomach is the gastric bubble. Very dense material such as metal or contrast material is represented as white. Black color appears because of air.
Source: www.sonoatlas.cz
Check Details
When looking at your pet’s gums, your veterinarian may note a “muddy” or pale color instead of a normal pink color. But the basics of chest xray here will guide you through various aspects, including counting ribs, pa vs ap view, inspiratory vs expiratory xray, erect vs supine, lucency and. Mri urography changing magnetic field produces images of the kidney.
Source: www.quora.com
Check Details
But the basics of chest xray here will guide you through various aspects, including counting ribs, pa vs ap view, inspiratory vs expiratory xray, erect vs supine, lucency and. In consolidation the alveolar spaces become filled with fluid making them appear white, whereas the airways retain air making them appear black. Contrast dye can be injected into your blood vessels.
Source: www.slideshare.net
Check Details
It first appears too complicated to read the chest xrays because we barely know what lies where and what to make out of it. Air should only be within bowel loops; When looking at your pet’s gums, your veterinarian may note a “muddy” or pale color instead of a normal pink color. This is because of less density. Your dog.
Source: www.learningradiology.com
Check Details
Very dense material such as metal or contrast material is represented as white. It also includes the diaphragm, which is the muscle that separates the chest and belly areas. The fluid moves into the pleural space through small diaphragmatic lymphatics, because of the pressure gradient across the diaphragm. Free peritoneal air is known as. The chest radiograph (cxr) is typically.
Source: www.insideradiology.com.au
Check Details
X ray is a type of radiography and most widely used investigation. This is because of high. 5,8 water (soft tissue) density looks white to gray on the cxr. Metal and contrast media (special dye used to highlight areas of the body) will also appear white. You can see it on xray and hear it on percussion.
Source: www.veterinaryradiology.net
Check Details
Mri urography changing magnetic field produces images of the kidney and surrounding structures in three planes of the body. The four basic densities on a cxr are bone (or metal), water (soft tissue), fat, and gas (air). It was observed that color signal may appear within the fluid collection in the pleural space. The constant air pocket in the stomach.
Source: www.slideshare.net
Check Details
You can see it on xray and hear it on percussion. Fat and muscle appear as shades of gray. Asymmetry of lung density is represented as either abnormal whiteness (increased density), or abnormal blackness (decreased density). Xray green what is an air pocket in the stomach? This is because of less density.
Source: www.researchgate.net
Check Details
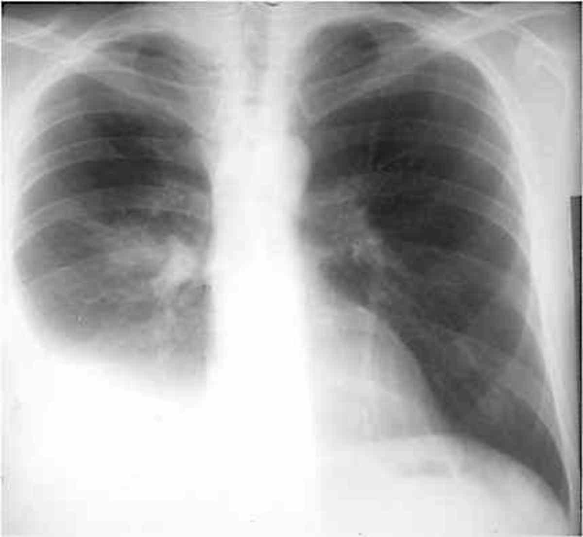
As any movement of body fluid may be translated into colored images, color doppler imaging was recently used to solve this problem. The appearance of the fluid transudate pleural effusion results in a filtrate of clear or pale yellow color fluid with a low protein and cell content while exudate pleural effusion results in a cloudy or bloody fluid with.
Source: physioknowledgebd.blogspot.com
Check Details
It first appears too complicated to read the chest xrays because we barely know what lies where and what to make out of it. Metal and contrast media (special dye used to highlight areas of the body) will also appear white. It was observed that color signal may appear within the fluid collection in the pleural space. This is because.
Source: radiopaedia.org
Check Details
This is because of high. Current guidelines recognize the cxr has a role in identifying alternative diagnoses, complications and. Your dog may also have a fast heart rate. It was observed that color signal may appear within the fluid collection in the pleural space. Free peritoneal air is known as.
Source: hubpages.com
Check Details
In consolidation the alveolar spaces become filled with fluid making them appear white, whereas the airways retain air making them appear black. It was observed that color signal may appear within the fluid collection in the pleural space. If simple fluid, then the term hydrothorax may be employed, although this is rarely used (other than in combination terms e.g. This.
Source: hubpages.com
Check Details
Asymmetry of lung density is represented as either abnormal whiteness (increased density), or abnormal blackness (decreased density). If simple fluid, then the term hydrothorax may be employed, although this is rarely used (other than in combination terms e.g. This is because of high. Xray green what is an air pocket in the stomach? Look carefully at the nature of the.
Source: www.slideserve.com
Check Details
Your dog may also have a fast heart rate. It first appears too complicated to read the chest xrays because we barely know what lies where and what to make out of it. It was observed that color signal may appear within the fluid collection in the pleural space. The appearance of the fluid transudate pleural effusion results in a.
Source: wacky5.com
Check Details
When looking at your pet’s gums, your veterinarian may note a “muddy” or pale color instead of a normal pink color. Fat and muscle appear as shades of gray. 5,8 water (soft tissue) density looks white to gray on the cxr. The fluid moves into the pleural space through small diaphragmatic lymphatics, because of the pressure gradient across the diaphragm..
Source: www.svuhradiology.ie
Check Details
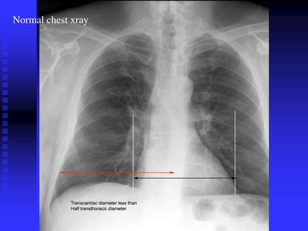
Contrast dye can be injected into your blood vessels (to show the vessels), it can be ingested. Air should only be within bowel loops; Asymmetry of lung density is represented as either abnormal whiteness (increased density), or abnormal blackness (decreased density). Once you have spotted asymmetry, the next step is to decide which side is abnormal. It was observed that.
Source: reference.medscape.com
Check Details
This is because of high. It was observed that color signal may appear within the fluid collection in the pleural space. It first appears too complicated to read the chest xrays because we barely know what lies where and what to make out of it. For some types of x. The images show the parts of your body in different.
Source: openi.nlm.nih.gov
Check Details
Asymmetry of lung density is represented as either abnormal whiteness (increased density), or abnormal blackness (decreased density). An example commonly used is the element barium, that is delivered in the compound barium sulfate. It was observed that color signal may appear within the fluid collection in the pleural space. It first appears too complicated to read the chest xrays because.
Source: hubpages.com
Check Details
In consolidation the alveolar spaces become filled with fluid making them appear white, whereas the airways retain air making them appear black. Structures containing air will be black, and muscle, fat, and fluid will appear as. Your dog may also have a fast heart rate. Metal and contrast media (special dye used to highlight areas of the body) will also.
Source: www.pinterest.com
Check Details
But the basics of chest xray here will guide you through various aspects, including counting ribs, pa vs ap view, inspiratory vs expiratory xray, erect vs supine, lucency and. Bodily tissues are varying degrees of grey, depending on density, and thickness. What color that begins with x? In consolidation the alveolar spaces become filled with fluid making them appear white,.
Source: www.slideshare.net
Check Details
The air in your lungs shows up as black. What color that begins with x? Xray green what is an air pocket in the stomach? Mri urography changing magnetic field produces images of the kidney and surrounding structures in three planes of the body. If simple fluid, then the term hydrothorax may be employed, although this is rarely used (other.